Dental Solutions You Can Trust

Working Hours
Mon–Fri: 7:00AM – 3:00PM
Sat-Sun: Closed
Address
493 NW 27TH AVE
Miami, FL 33125
At Kings Dental Arts Lab, we are a family-owned business dedicated to providing one-on-one service and exceptional care for every client. By combining advanced technology with skilled craftsmanship, we deliver crowns, dentures, retainers, and custom trays with precision and reliability. Our focus on personal relationships and consistent results makes us a trusted partner for dental practices and their patients.
Contact Now
Our Certifications
Working Hours
Mon–Fri: 7:00AM – 3:00PM
Sat-Sun: Closed
Address
493 NW 27TH AVE
Miami, FL 33125

Behind Every Perfect Smile Stands a Team of Experts

A family dental lab known for picking up the phone, solving complex cases, and delivering consistent, beautiful results.
About us
Products Preview

Reliable Dental Solutions for Every Practice

Dentures are removable prosthetic devices designed to replace missing teeth and restore a natural smile.

At Kings Dental Arts Lab, we craft both full and partial dentures using advanced materials for a comfortable fit, natural appearance, and lasting durability. Our precision process ensures proper function, allowing patients to eat, speak, and smile with confidence.
View More
Ceramic crowns are tooth-shaped caps placed over damaged or weakened teeth to restore strength, function, and appearance.

At Kings Dental Arts Lab, we design crowns with precision and high-quality ceramic materials that mimic the natural translucency of enamel, providing durability and a seamless, lifelike look.
View More
Night guards are custom-made oral appliances that help protect teeth from the effects of grinding and clenching during sleep. Designed for comfort and durability, they act as a protective barrier to reduce wear, minimize jaw discomfort, and preserve overall oral health.
View More
Custom trays are individually designed impression trays that provide a precise and secure fit when taking dental impressions. Unlike standard stock trays, they are tailored to the patient’s unique anatomy, ensuring greater accuracy and detail. This level of precision allows for better-fitting dentures, crowns, bridges, and other restorations, ultimately improving comfort, function, and long-term results.
View More
Scanner-based workflows use advanced digital scanning technology to capture highly accurate 3D images of a patient’s teeth and oral structures. These digital impressions eliminate the need for traditional molds, streamlining the process and improving precision. The detailed scans allow for faster turnaround, seamless communication between dentist and lab, and restorations that fit with exceptional accuracy.
View More
Retainers are custom-made appliances used to maintain teeth in their corrected position after orthodontic treatment. They help prevent teeth from shifting back over time, ensuring long-lasting results.

Available in clear, removable designs or fixed options, retainers are tailored for comfort, durability, and effective retention.
View More

Dental Solutions You Can Trust

Sarah Delgado

King Dental Labs

I can’t thank King Dental Arts enough for the incredible work they did on my partial valplast. The fit and look are so natural that no one can tell they aren’t my real teeth. My dentist told me they only use this lab because of the quality, and now I understand why, it’s truly life-changing to feel confident in your smile again.

Dr. Marcus Nguyen, DDS

King Dental Labs

King Dental Arts delivered exceptional work on a complex full-arch case for one of my long time patients. Their attention to detail and timely delivery enabled us to stay on schedule and provide the patient with a stunning, functional result right at the first try-in. Their laboratory partnership feels like an extension of our own team!

Dr. Elena Morales, DMD

King Dental Labs

Working with King Dental Arts was a game changer for our practice. The craftsmanship and precision they bring to each restoration are outstanding , everything fits beautifully right out of the box, saving us and our patients time and frustration. Their communication is prompt, clear, and proactive, which makes case planning and execution so much smoother. I highly recommend them to any clinician seeking unmatched quality and reliability in their dental lab partner

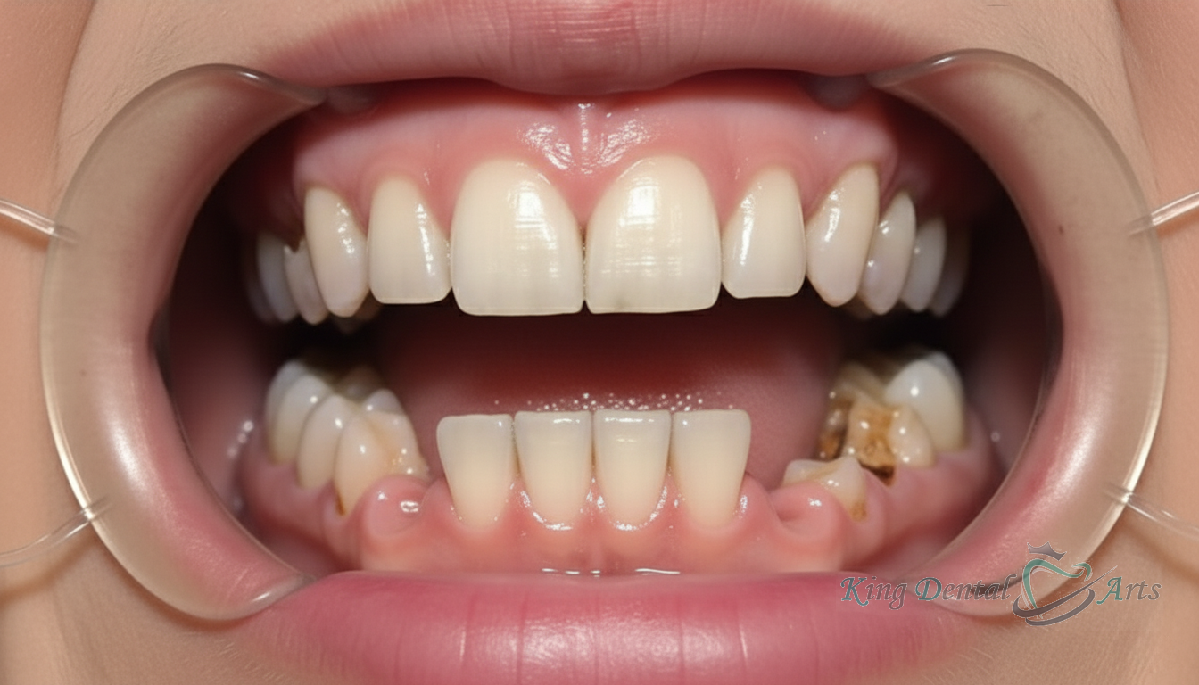
Where Change Becomes Visible

Personalized Solutions
Every restoration is tailored to the unique needs of each clinic and patient, ensuring comfort, precision, and a natural fit.
Premium Materials
We use only high-quality, biocompatible ceramics and polymers that provide durability, safety, and a lifelike appearance.
Fast Turnaround
Optimized workflows allow us to deliver consistent, high-quality results quickly, keeping treatments on schedule.
Before
After

Let’s Talk About Your Next Case

Discover how our lab can deliver accurate, esthetic restorations with turnaround times that keep your practice running smoothly.

Submit Your Details to Begin

Provide your information below and our team will reach out within 24 hours. We’ll walk you through the submission process and answer any questions about materials, pricing, or workflows.
Thank you! Your submission has been received!
Oops! Something went wrong while submitting the form.